কলকাতা: লকডাউনে কম বেশি সকলেই 'ওয়ার্ক ফ্রম হোমে' অভ্যস্ত হয়ে পড়েছে। আনলক পর্যায়ে অফিস খুললেও কোথায় সেই উদ্যম, মনের জোরে বাজিমাতের খেল? বরং মাঝেই মধ্যেই কাজের ক্লান্তি গ্রাস করছে মন ও শরীরকে। University of Birmingham এবং University of Oxford-এর গবেষকরা জানিয়েছেন যে কাজের প্রতি উদ্যোমী মনোভাব সব সময় যে এক থাকবে তা নয়। এটি ক্লান্তির রিদমের উপর পুরোপুরি নির্ভরশীল।
মানসিক হোক কিংবা শারীরিক একজন মানুষ ক্লান্তি নিয়ে ১০০ শতাংশ কাজ করতে পারে কি না তা বিশ্লেষণের জন্য একটি গবেষণা করেন দুই বিশ্ববিদ্যালয়ের গবেষকরা। সেই গবেষণা থেকে জানা গিয়েছে যদিও কারওকে উপহারও দেওয়ার কথা বলা হয়, তাহলেও ক্লান্তি যদি থাকে সেই কাজে অনীহা আসছেই। উপহারের আশায় লড়াই করার মনোভাবও হারিয়ে যাচ্ছে।
এই গবেষণাটি নেচার জার্নাল কমিউনিকেশনে প্রকাশিত হয়েছে। ক্লান্তি আমরা সকলেই প্রতিদিন অনুভব করি। এর ফলে আমাদের নিজেদের অনুপ্রেরণা হারিয়ে যায় বারবার। সবসময়ই মনে হয় বিরতি নিয়েনি। বিজ্ঞানীরা দেখেছেন মস্তিষ্ক যে নির্ধারিত কাজটি চেষ্টা করার উপযুক্ত কিনা তা নির্ধারণের জন্য বিশেষ কিছু পদ্ধতির সাহায্য নেয়। সেখানে যদিও ক্লান্তির প্রভাব এখনও ভালভাবে বোঝা যায়নি।
উদ্বেগজনকভাবে, গবেষকরা দেখতে পেলেন যে মস্তিষ্কের পৃথক অংশে দুটি পৃথক ধরণের ক্লান্তি ধরা পড়েছিল। একটি হল ক্লান্তির স্বল্পমেয়াদী অনুভূতি হিসাবে যা অল্প বিশ্রামের পরেও কাটিয়ে উঠতে পারে। সময়ের সঙ্গে সঙ্গে একটি দ্বিতীয় এবং দীর্ঘমেয়াদী অনুভূতি জেগে ওঠে। যা মানুষকে কাজ করতে দিতে চায় না।
৩৬ জন অল্পবয়সিদের উপর এই সমীক্ষা করা হয়। যেখানে প্রত্যেককে কম্পিউটার বেসড কাজ করতে দেওয়া হয়। বলা হয় কাজের বদলে উপহারও পাবেন তাঁরা। ২০০টি ট্রায়াল হয়। পরীক্ষার কোনও পর্যায়ে একজন ব্যক্তির কত ক্লান্তি অনুভব করবে এবং সেই ক্লান্তি কতটুকু কাজ করবে বা বিশ্রাম নেবে সে বিষয়ে তাদের সিদ্ধান্তকে কতটা প্রভাবিত করছে তা অনুমান করার জন্য দলটি একটি গাণিতিক মডেল তৈরি করেছিল।
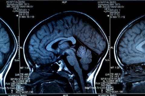
শুধু তাই নয়, এমআরআই স্ক্যানও করেছিলেন গবেষকরা। দেখা যায় মস্তিষ্কের সামনের অংশের কর্টেক্সে বেশ কিছু কার্যকারীতা দেখা যায়। যেখানে কতটা ক্লান্তি মানুষের কাজ চালিয়ে যাওয়ার প্রেরণাকে প্রভাবিত করছে তা বোঝা যায়।
